

ศูนย์ภาพวินิจฉัยศรีพัฒน์
รหัสเอกสาร PI-IMC-083-R-00
อนุมัติวันที่ 24 ตุลาคม 2562
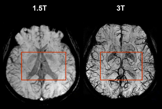
ในการตรวจด้วยเทคนิคเครื่องสร้างภาพด้วยสนามแม่เหล็กไฟฟ้า Magnetic Resonance Imaging (MRI) เราปฏิเสธไม่ได้เลยว่าคุณภาพของภาพ MRI ขึ้นอยู่กับความแรงของสัญญาณและสนามแม่เหล็กเป็นปัจจัยหลักในการให้ความละเอียดและชัดเจนของภาพ ยกตัวอย่างเช่น เดิมเครื่อง MRI 0.5 Tesla ย่อมมีความแตกต่างในการให้รายละเอียดของภาพและความเร็วในการตรวจต่างจากเครื่อง 1.5 Tesla ที่ดีกว่า ซึ่งปัจจุบันด้วยเทคโนโลยีความแตกต่างนั้นก็เป็นเฉกเช่นเดียวกันกับเครื่อง 3 Tesla ที่ให้ความแรงสนามแม่เหล็กเป็นสองเท่า เมื่อเทียบกับเครื่อง 1.5 Tesla ผลที่ตามมาย่อมให้สัญญาณภาพที่มากขึ้น ความเร็วในการตรวจที่เร็วขึ้น เนื่องจากการมีความแรงของสัญญาณเป็นสองเท่า ทำให้ MRI 3 Tesla ให้ภาพที่ชัดเจนและคมชัดมาก นอกจากนี้สามารถทำให้ใช้เวลาตรวจเร็วขึ้น ลดเวลาในการสแกนโดยรวม โดยทั้งสองเป็นสิ่งที่มีค่าอย่างยิ่งสำหรับผู้ป่วยในแง่ของการวินิจฉัยและความสะดวกสบาย

ทั้งนี้ส่วนตรวจที่เป็นที่ยอมรับโดยทั่วไปว่าให้ความคมชัดของภาพที่ดีเป็นอย่างมาก ยกตัวอย่าง เช่น
1. การตรวจทางด้านระบบประสาทสมอง (Neuro) Brain & Vascular ชึ่งจะให้รายละเอียดสัญญาณภาพที่ชัดเจนเป็นอย่างมาก ความเปรียบต่างของเนื้อเยื่อสมอง รายละเอียดของเส้นประสาท รวมไปถึงการเก็บสัญญาณภาพของหลอดเลือดภายในสมองที่ไหลเวียนอยู่ ก็สามารถทำได้ดีกว่าเครื่อง 1.5 Tesla ดังนี้
- ให้ความละเอียดของภาพได้ดีกว่า ทำให้เพิ่มความไว (Sensitivity) และความแม่นยำ (Accuracy) ในการวินิจฉัยโรค เช่น โรคสมองขาดเลือด (Stroke) หรือโรคเอ็มเอส (Multiple sclerosis)
- เพิ่มความละเอียดและความสามารถในการตรวจจำแนกระดับของสารชนิดต่างๆ ในเนื้อเยื่อของร่างกาย ซึ่งทำให้การตรวจ MRS หรือ MR-Spectroscopy มีความแม่นยำมากขึ้น โดยสามารถให้การวินิจฉัยเชิงปริมาณของสารเมตาบอไลท์ (Metabolite) ที่ผิดปกติได้แม่นยำกว่า MRI 1.5 Tesla ซึ่งช่วยในการวินิจฉัยโรคสมองบางชนิด เช่น จำแนกชนิดของเนื้องอกในสมอง โรคสมองติดเชื้อ โรคความจำเสื่อม หรืออัลไซเมอร์ เป็นต้น
- มีความแม่นยำในการตรวจดูภาพการหล่อเลี้ยงของเลือด (Perfusion image) มากกว่า เนื่องจากมีความละเอียดสูงกว่า เช่น ในการตรวจปริมาณเลือดไปเลี้ยงสมอง (Cerebral perfusion)
- ให้คุณภาพการสร้างเส้นใยสมอง (MR tractography) ด้วย DTI (Diffusion tensor imaging) ได้ดีกว่า เหมาะกับการวางแผนผ่าตัดเนื้องอกในสมองหรือในไขสันหลัง เพื่อวางแผนและตัดสินใจก่อนการผ่าตัด
- ในการตรวจเส้นเลือด สามารถสร้างภาพหลอดเลือดละเอียดกว่า ทั้งในกรณีก่อนและหลังการฉีดสารทึบรังสี โดยใช้เวลาตรวจที่เร็วกว่าอีกด้วย
2. การตรวจทางด้านกระดูกและข้อ (MSK) ทั้งนี้ในการตรวจข้อต่อต่างๆ ของร่างกาย สิ่งที่เครื่อง 3
Tesla มีคือการให้สัญญาณภาพที่มากขึ้น ซึ่งแปรผันตรงกับสิ่งที่แพทย์ต้องการ
นั่นคือภาพที่ได้จะให้รายละเอียดของ Cartilage Meniscus Bone ที่ชัดเจนมากขึ้น
3. ในกรณีส่วนตรวจในช่องท้อง (Body) ที่ผู้ป่วยต้องกลั้นหายใจขณะตรวจ
สามารถลดเวลาได้เป็นอย่างมาก โดยที่ยังคงความคมชัดของภาพที่ได้ และลดความสั่นไหวของภาพได้เป็นอย่างดี
ทำให้ผลการวินิจฉัยแม่นยำและรวดเร็ว ทั้งนี้ในการตรวจ ผู้ป่วยก็ไม่ต้องทนทุกข์กับการตรวจที่เหนื่อยในการกลั้นหายใจเป็นเวลานานๆ
อีกด้วยซึ่งสิ่งเหล่านี้ทำให้คุณภาพการวินิจฉัยและการความพึงพอใจในการมารับบริการเป็นที่น่าพอใจอย่างแน่นอน
ศูนย์ภาพวินิจฉัยศรีพัฒน์ SRIPHAT Imaging Center (IMC)
เปิดให้บริการตรวจ MRI ด้วยเครื่องสร้างภาพด้วยสนามแม่เหล็กไฟฟ้าที่มีความคมชัด 3 Tesla และ CT Scan ด้วยเครื่องเอกซเรย์คอมพิวเตอร์ที่มีความละเอียดสูงถึง 192 slices
โดยเทคโนโลยี CT- MRI สามารถตรวจวินิจฉัยรอยโรคของผู้ป่วยเพื่อนำผลมาใช้ในการรักษาและติดตามผลการรักษา และตัวเครื่องสามารถเพิ่มความเร็วในการตรวจ ทำให้ไม่อึดอัดขณะตรวจ และใช้เวลาในการตรวจสั้นรวดเร็ว
รายละเอียดเพิ่มเติมคลิก>>http://sriphat.med.cmu.ac.th/th/knowledge-410
*** ข้าราชการสามารถเบิกได้ตามระเบียบของกรมบัญชีกลาง
เปิดให้บริการทุกวัน เวลา 08.00-20.00 น.
ชั้น 1 อาคารสวนดอกปาร์ค
โทรศัพท์ 06-2309-3003 , 06-2309-9009 , 0-5393-4518
คลิก>> แผนที่ ศูนย์ภาพวินิจฉัยศรีพัฒน์ (SRIPHAT IMC)