
ผศ.นพ.ธนินนิตย์ ลีรพันธ์
ภาควิชาออร์โทปิดิกส์ คณะแพทยศาสตร์ มหาวิทยาลัยเชียงใหม่
รหัสเอกสาร PI-IMC-102-R-00
อนุมัติวันที่ 26 มีนาคม 2563
การประเมินความเสี่ยงในการเกิดกระดูกหักจากโรคกระดูกพรุน
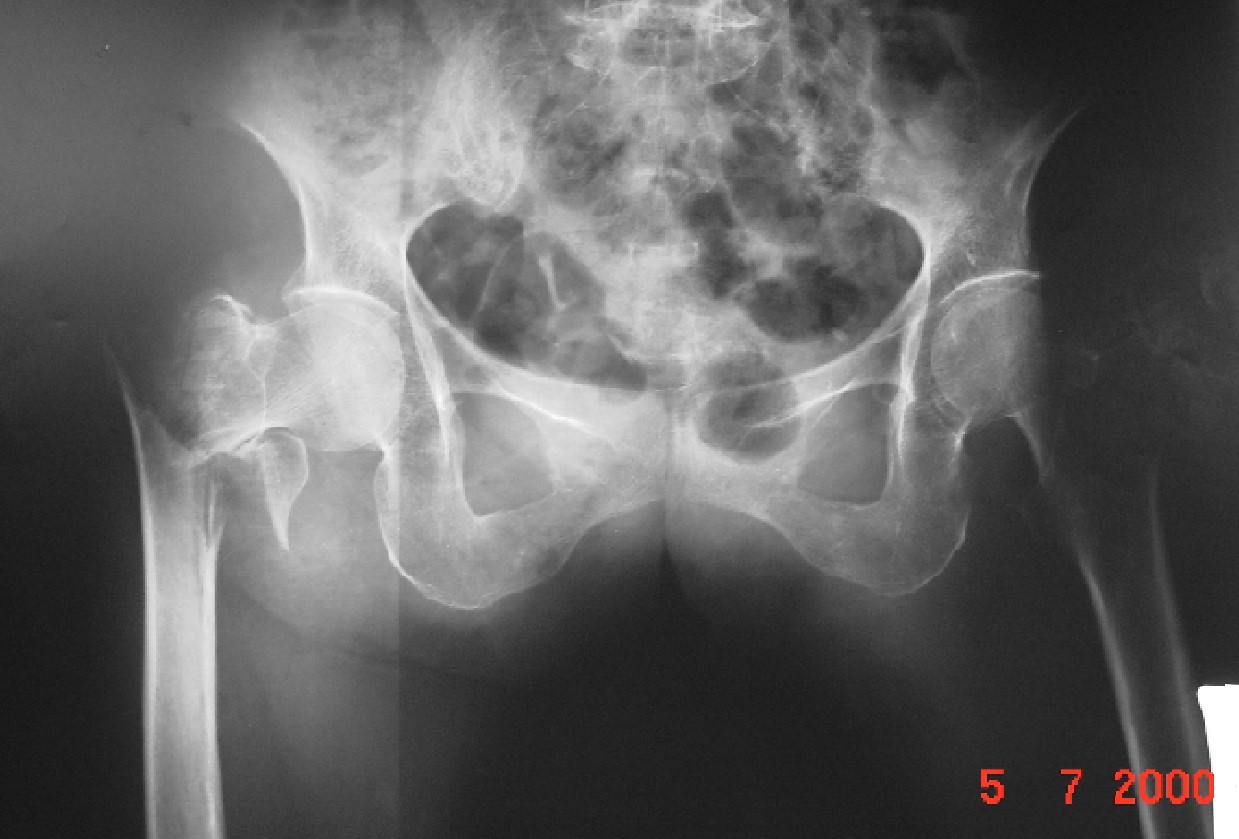
โรคกระดูกพรุนเป็นโรคที่มีการสูญเสียมวลกระดูกอย่างต่อเนื่อง และโครงสร้างของกระดูกเสื่อมสลายทำให้กระดูกบางลง ซึ่งมีความเสี่ยงสูงที่จะทำให้เกิดกระดูกหักได้ง่าย โรคกระดูกพรุนมักไม่ค่อยแสดงอาการจนกระทั่งมีการหักของกระดูกเกิดขึ้น คนทั่วไปมักไม่ทราบว่าตนเองเป็นโรคกระดูกพรุนจนกระทั่งกระดูกอ่อนแอลง เมื่อได้รับแรงกระแทกเพียงเล็กน้อยหรือหกล้มก็ทำให้เกิดกระดูกหักได้ง่าย โดยเฉพาะกระดูกบริเวณสะโพก กระดูกสันหลัง และกระดูกบริเวณข้อมือ ซึ่งอาจทำให้มีอาการปวดมากจนกระทั่งไม่สามารถทำงานและทำกิจวัตรประจำวันได้ เมื่อกระดูกสันหลังหักหรือยุบลงมาก็จะมีอาการปวดหลังอย่างรุนแรง เตี้ยลงและหลังค่อมได้
การรักษาโรคกระดูกพรุนในปัจจุบันมีวัตถุประสงค์หลักเพื่อป้องกันการเกิดกระดูกหักในอนาคต ดังนั้น การประเมินความเสี่ยงของผู้ป่วยในการเกิดกระดูกหักจากโรคกระดูกพรุนจึงมีความจำเป็น ปัจจัยเสี่ยงที่สำคัญมี 2 ประเด็น คือ ปัจจัยที่ทำให้ผู้ป่วยมีความเสี่ยงต่อการเกิดโรคกระดูกพรุน และปัจจัยเสี่ยงที่จะทำให้ผู้ป่วยหกล้ม ปัจจัยเสี่ยงเหล่านี้ ได้แก่
1. ผู้ป่วยเคยมีกระดูกหักง่ายที่ได้รับแรงกระแทกไม่รุนแรงหลังจากอายุ 40 ปี เช่น ลื่นหกล้มแล้วเกิดการหักของกระดูกข้อมือ หรือกระดูกตำแหน่งอื่น ก็จะทำให้เพิ่มความเสี่ยงในการเกิดกระดูกหักในอนาคตด้วย
2. การสูบบุหรี่ การดื่มแอลกอฮอล์ และการใช้ยากลุ่มสเตียรอยด์ จะเพิ่มความเสี่ยงโดยขึ้นกับขนาดและปริมาณที่ผู้ป่วยได้รับ ถ้าได้รับปริมาณมากก็จะเพิ่มความเสี่ยงในการเกิดโรคกระดูกพรุน ทำให้มวลกระดูกลดลงและเพิ่มความเสี่ยงในการเกิดกระดูกหักมากขึ้น
3. โรคข้ออักเสบรูมาตอยด์ เป็นปัจจัยเสี่ยงที่สำคัญที่ทำให้ผู้ป่วยเป็นโรคกระดูกพรุน และเกิดกระดูกหัก
4. บิดามารดาเป็นโรคกระดูกพรุนและเกิดกระดูกหัก เนื่องมาจากการถ่ายทอดทางพันธุกรรมเกี่ยวกับการสร้างมวลกระดูก
5. ผู้ที่มีความหนาแน่นของมวลกระดูกลดลงมากจะเพิ่มความเสี่ยงในการเกิดกระดูกหักเพิ่มมากขึ้น การตรวจวัดมวลกระดูกต้องวัดด้วยเครื่องตรวจวัดมวลกระดูกที่เรียกว่า DXA ที่ตำแหน่งของกระดูกสันหลัง และกระดูกสะโพกเท่านั้น ไม่นับรวมถึงการตรวจวัดด้วยคลื่นเสียงความถี่สูง หรือการตรวจวัดที่ตำแหน่งอื่น เช่น บริเวณกระดูกข้อมือและกระดูกส้นเท้า ซึ่งมักจะให้ค่าที่ไม่ถูกต้อง
ปัจจุบันมีเครื่องมือที่ใช้ในการประเมินความเสี่ยงของการเกิดกระดูกหักจากองค์การอนามัยโลก ที่เรียกว่า FRAX® (คลิกที่นี่ https://www.shef.ac.uk/FRAX/tool.aspx?country=57) โดยใช้ปัจจัยเสี่ยงต่างๆ รวมทั้งการตรวจวัดความหนาแน่นของกระดูกที่ตำแหน่งกระดูกสะโพกมาประเมิน การคำนวณ FRAX จะบอกถึงโอกาสเสี่ยงในระยะเวลา 10 ปี ของการเกิดกระดูกหักที่ตำแหน่งสำคัญ ได้แก่ กระดูกสันหลังหักที่ทำให้มีอาการปวดหลัง กระดูกสะโพก กระดูกต้นแขน กระดูกแขน เครื่องมือนี้เหมาะสมในการประเมินในผู้ชายและผู้หญิงที่มีอายุตั้งแต่ 50 ปีขึ้นไป ผลที่ได้จากการประเมินจะมี 2 ค่า พบว่าถ้าผู้ป่วยมีค่าความเสี่ยงในการเกิดกระดูกหักที่บริเวณกระดูกสะโพกมากกว่าร้อยละ 3 และกระดูกตำแหน่งสำคัญหักมากกว่าร้อยละ 20 แสดงว่าบุคคลนั้นมีความเสี่ยงสูงในการเกิดกระดูกหัก ซึ่งอาจจำเป็นต้องรับการรักษาเพื่อลดอุบัติการณ์ในการเกิดกระดูกหักในอนาคต แต่ในกรณีที่มีความเสี่ยงในการเกิดกระดูกหักต่ำก็ไม่จำเป็นต้องใช้ยาในการรักษาโรคกระดูกพรุน
การรักษาโรคกระดูกพรุน ทำได้โดยการปรับปรุงการใช้ชีวิตประจำวัน หลีกเลี่ยงปัจจัยเสี่ยง เช่น การดื่มแอลกอฮอล์ การสูบบุหรี่ ควรออกกำลังกายชนิดที่มีการรับน้ำหนัก เช่น การเดิน การวิ่ง ร่วมกับการฝึกความแข็งแรงของกล้ามเนื้อ การรำมวยไท้เก๊ก ก็จะช่วยฝึกสมดุลของกล้ามเนื้อและร่างกาย ทำให้ป้องกันการหกล้มได้ดี นอกจากนี้ควรมีการป้องกันการหกล้ม ซึ่งได้แก่ การปรับแสงไฟฟ้าให้สว่างเพียงพอภายในที่พักอาศัย จัดวางสิ่งของภายในบ้านให้เป็นระเบียบเรียบร้อย การใช้เครื่องพยุงช่วยเดิน หลีกเลี่ยงการเดินบนพื้นผิวไม่เรียบ ถ้ามีปัญหาทางสายตาควรได้รับการแก้ไข เช่น โรคต้อกระจก ต้อหิน เป็นต้น
ส่วนใหญ่มักจะมีคำถามว่าแคลเซียมมีความจำเป็นต่อร่างกายเพียงไร และจำเป็นต้องรับประทานมากน้อยขนาดไหน ถ้าทานไปแล้วจะเกิดการสะสมในร่างกายทำให้เกิดกระดูกงอก เกิดนิ่วในไต หรือมีผลเสียต่อร่างกายหรือไม่ โดยปกติแล้วร่างกายต้องการแคลเซียมมีความแตกต่างกันในแต่ละช่วงอายุ เพศชายและเพศหญิงอายุมากกว่า 50 ปี ต้องการแคลเซียม 1,000 มิลลิกรัมต่อวัน จากการศึกษาวิจัยในคนไทยพบว่า อาหารในแต่ละวันจะได้ปริมาณแคลเซียมโดยเฉลี่ยประมาณ 400 มิลลิกรัมต่อวัน ซึ่งหมายความว่าร่างกายของคนเรานั้นยังขาดแคลเซียม ดังนั้น จึงควรได้รับแคลเซียมเสริมเข้าไปให้เพียงพอกับปริมาณที่ร่างกายต้องการ ชนิดของแคลเซียมก็ควรเหมาะสมในแต่ละช่วงอายุ เช่น ถ้าเป็นในวัยเด็กและวัยรุ่นร่างกายยังต้องการพลังงานและโปรตีน การให้ดื่มนมซึ่งมีปริมาณแคลเซียมสูงก็เป็นสิ่งที่เหมาะสม แต่ในผู้ที่อายุมากขึ้นการดื่มนมเพื่อรับปริมาณแคลเซียมอาจจะทำให้ร่างกายได้รับพลังงานมากเกินไป อาจทำให้อ้วนได้ โดยเฉพาะในผู้สูงอายุซึ่งมักมีโรคข้อเข่าเสื่อมร่วมด้วยก็อาจทำให้อาการข้อเข่าเสื่อมแย่ลงด้วย ดังนั้น ในผู้สูงอายุจึงแนะนำให้รับประทานแคลเซียมคาร์บอเนตประมาณ 1,500 มิลลิกรัม ซึ่งจะแตกตัวให้ปริมาณแคลเซียมประมาณ 600 มิลลิกรัม เมื่อรวมกับปริมาณของแคลเซียมที่ได้จากอาหารก็จะเพียงพอกับความต้องการของร่างกาย ช่วงเวลาที่ดีที่สุดที่ควรรับประทานแคลเซียม คือ หลังอาหารทันทีในช่วงไหนก็ได้ของวัน เพราะระบบทางเดินอาหารจะมีการหลั่งกรดออกมาทำให้ร่างกายสามารถดูดซึมแคลเซียมได้ดีขึ้น
ในปัจจุบันยารักษากระดูกพรุนแบ่งเป็น 2 กลุ่มใหญ่ๆ คือ ยากลุ่มยับยั้งการทำลายกระดูก ได้แก่ ยาในกลุ่ม ฺBisphosphonate ซึ่งมีหลายชนิด ทั้งรับประทานแบบอาทิตย์ละ 1 ครั้ง เดือนละ 1ครั้ง หรือยาฉีดปีละ 1 ครั้ง รวมทั้งยากลุ่มยับยั้งการทำลายกระดูก Denosumab ที่ฉีดเข้าใต้ผิวหนัง ซึ่งใช้ฉีดทุก 6 เดือน และยากลุ่มกระตุ้นการสร้างกระดูก Teriparatide ซึ่งการพิจารณาใช้ยารักษากระดูกพรุนขึ้นอยู่กับความเหมาะสมของผู้ป่วยในแต่ละรายและดุลยพินิจของแพทย์ โดยระยะเวลาในการรักษาโรคกระดูกพรุนประมาณ 5 ปี
ภาพแสดงกระดูกสันหลังยุบจากโรคกระดูกพรุน

ภาพแสดงกระดูกสันหลังหักจากโรคกระดูกพรุน

ภาพแสดงกระดูกปกติเทียบกับกระดูกพรุน

ภาพแสดงการตรวจวัดประเมินความหนาแน่นกระดูกด้วยเครื่อง DXA

